软件介绍
无极云影像是一款全新推出的免费医用影像管理软件,专注于为患者与医生提供安全、高效、便捷的云端影像服务。软件支持CT、MRI等各类医学影像的实时调阅、云端存储与跨院共享,并集成在线问诊、远程会诊、影像协作诊断等功能,助力实现“检查在基层、诊断在上级”的分级诊疗模式。用户可随时查看个人影像资料与结构化报告,医生则可通过多模态通讯工具开展高效协同,全面提升医疗效率与健康管理体验。
软件优势
- 便捷就医:打破时空限制,支持随时随地在线咨询医生,免去排队挂号困扰;
- 专业可靠:由持证医师基于真实影像与临床数据提供诊断建议,保障医疗质量;
- 安全合规:采用国密级加密技术,确保医学影像传输、存储全程符合医疗数据安全规范;
- 高效协同:医生可一键调阅多机构影像、快速比对历史资料,显著提升诊断效率;
- 广泛兼容:适配安卓/iOS主流机型及医院PACS系统,无缝对接多种医疗信息平台。
使用教程
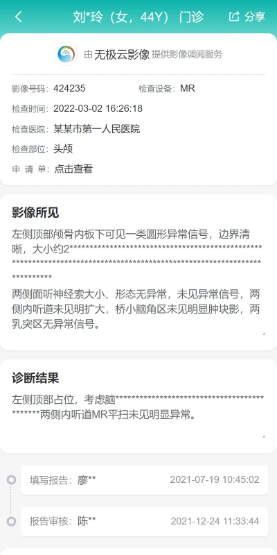
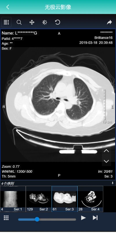
- 首次使用需选择就诊医院,输入患者信息或ID,通过搜索快速定位CT/MRI等检查记录;
- 点击进入影像详情页,可滑动切换序列、缩放浏览图像,并同步查看结构化诊断报告;
- 在“患者列表”中按检查时间、科室、状态等条件筛选,高效查找目标病例;
- 支持在报告编辑界面直接调阅对应影像,边看边写,提升报告书写准确性和时效性;
- 通过“我的影像云盘”统一管理个人所有检查档案,支持分类归档、标签标记与离线缓存。
更新日志
v1.0.5版本:优化SDK初始化流程,修复部分安卓机型在调阅诊断报告时出现的加载异常问题,进一步提升系统稳定性与兼容性。


